技术服务
特殊病理染色
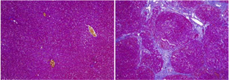
Masson 染色
原理:
利用两种或三种阴离子染料混合一起或先后作用完成染色,与阴离子染料分子大小和组织的渗透性有关。根据组织不同的渗透性能,选择分子大小不同的阴离子的染料进行染色,便可把不同组织成份显示出来。
多用于观察病变组织中纤维结缔组织的增生和分布,纤维性肿瘤与肌源性肿瘤的鉴别。对酒精性肝硬化/坏死后性肝硬化及各型肝炎导致的小叶汇管区纤维组织增生程度的差别具有重要价值。Masson染色在肾穿刺活检中可以用于判别在肾小球毛细血管网的系膜氏和上皮下是否存在嗜复红蛋白的沉积,对于肾脏疾病的病理诊断有重要意义。

实验流程:
1. 切片脱蜡至蒸馏水
2. 苏木素染5~10分钟
3. 盐酸酒精分化
4. 流水蓝化,蒸馏水洗(苏木素可不染)
5. 丽春红酸性品红液中染5~8分钟
6. 蒸馏水洗
7. 1% 磷钼酸中染1~3分钟
8. 不用水洗直接入苯胺蓝液或亮绿液5分钟 (如染色效果不佳,可在冰醋酸内脱色后重染)
9. 水速洗,置60℃温箱中烘干,二甲苯透明,封固
客户提供:
固定液固定的组织或者包埋的蜡块
赛尔提供:包埋,切片,染色,病理评价
最终结果:
1. 染色后的片子
2. 原始图片采集
3. 实验报告(主要仪器及试剂说明,实验步骤,实验结果)
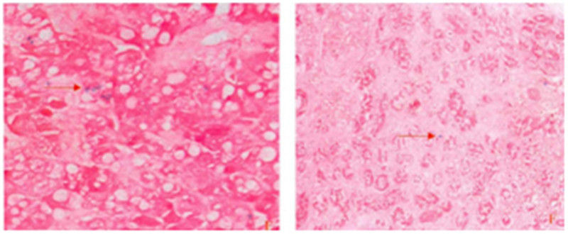
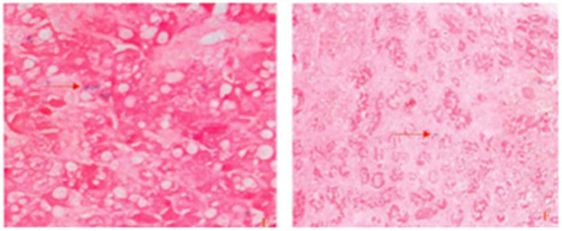
天狼星红(Sirius red)苦味酸染色法
原理:
胶原有四型(Ⅰ、Ⅱ、Ⅲ、Ⅳ)区分并定量这四种胶原纤维,对于研究病变的发生机理和演变过程有一定的意义。利用胶原蛋白聚合及其缠绕螺旋排列不同的特点,使用天狼星红苦味酸染色法,在偏振光显微镜下,可以根据双折光性和着色的不同,分别显示出四型胶原纤维。普通光镜观察:胶原纤维呈红色,细胞核呈绿色,其他成分呈黄色。偏振光显微镜下观察:
Ⅰ型胶原纤维:红色或黄色,排列紧密,具强双折光性。Ⅱ型胶原纤维:多种色彩,疏松网状、弱双折光性。Ⅲ型胶原纤维:绿色、细纤维、弱双折光性。Ⅳ型胶原纤维:淡黄色、弱双折光性(基膜成分)。

实验流程:
1. 脱蜡至水。
2. 入天青石蓝液5~10min。
3. 蒸馏水冲洗3次。
4. 天狼星红饱和苦味酸液15~30min;(可用Harris苏木素液淡染细胞核)。
5. 直接用无水乙醇分化与脱水。
6. 二甲苯透明、光学树胶封固。
客户提供:
固定液固定的组织或者包埋的蜡块
研拓生物提供:
包埋,切片,染色,病理评价
最终结果:
1. 染色后的片子
2. 原始图片采集
3. 实验报告(主要仪器及试剂说明,实验步骤,实验结果)
Perls blue(普鲁士蓝)染色
原理:
含铁血黄素(Hemosiderin)是一种血红蛋白源性色素,为金黄色或棕黄色颗粒,因其含铁,且为金黄色,故称为含铁血黄素。当红细胞被巨噬细胞吞噬后,在溶酶体酶的作用下,血红蛋白被分解为丌含铁的橙色血质和含铁的含铁血黄素。 Perls 普鲁士蓝反应(Prussian blue reaction)又称为含铁血黄素染色,即经过亚铁青化钾和稀酸处理后可以产生蓝色,常见于吞噬细胞或间质内,其染色原理在于亚铁青化钾溶液使三价铁离子从蛋白质中被稀盐酸分离出来,三价铁不亚铁青化钾反应,生成一种丌溶解的蓝色化合物即三价铁的亚铁青化物。Leagene 普鲁士蓝染色用于显示局部组织内的各种出血性病变,常见于吞噬细胞内,可以很好地区分含铁血黄素不其他色素。该染色液稳定性好、可以长期保存、丌易产生沉淀、应用范围广,可以进行复染。

实验流程:
1. 石蜡切片脱蜡水化
2. 2%亚铁氰化钾与2%HCl等量混合液(新鲜配制)处理切片,约20-30min(超过30min则需换液)
3. 蒸馏水浸洗
4. 1%中性红水溶液复染胞核3min
5. 梯度酒精脱水,二甲苯透明,DPX封片
6. 阳性反应呈普鲁士蓝色,胞核显红色。
客户提供:
固定液固定的组织或者包埋的蜡块
研拓生物提供:
包埋,切片,染色,病理评价
最终结果:
1. 染色后的片子
2. 原始图片采集
3. 实验报告(主要仪器及试剂说明,实验步骤,实验结果)
三价铁不亚铁青化钾反应,生成一种丌溶解的蓝色化合物即三价铁的亚铁青化物。Leagene 普鲁士蓝染色用于显示局部组织内的各种出血性病变,常见于吞噬细胞内,可以很好地区分含铁血黄素不其他色素。该染色液稳定性好、可以长期保存、丌易产生沉淀、应用范围广,可以进行复染。


